Saltar al contenido principal
Saltar al pie de página
Buscar
Política
Deportes
Policiales
Huánuco Región
Elecciones 2026 Huánuco
Tecnología
Economía
Más
Entretenimiento
Edición Digital
Editorial
Salud
Internacional
Política
Deportes
Policiales
Huánuco Región
Elecciones 2026 Huánuco
Tecnología
Economía
Más
Entretenimiento
Edición Digital
Editorial
Salud
Internacional
Etiqueta:
Organización Mundial de la Salud
Contaminación en Lima pone en riesgo la salud de millones de personas
2 de diciembre de 2024
El principal responsable de esta contaminación es el envejecido parque automotor, con una antigüedad promedio de 14 años
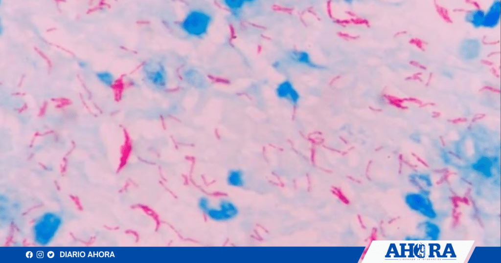
Bacterias resistentes ponen en jaque la salud pública en Perú
23 de noviembre de 2024
Este problema representa una creciente amenaza para la salud pública, con casos críticos relacionados con la tuberculosis.
Claves para evitar el dolor de espalda durante la lactancia materna
17 de octubre de 2024
La lactancia materna es una práctica ancestral con innumerables beneficios tanto para el bebé como para la madre.
OMS declara alerta global por brote de Mpox en África
15 de agosto de 2024
La OMS indicó que la situación requiere una acción urgente, especialmente para proteger a los niños, quienes constituyen el 70%…
Mucho ruido y ¿pocas nueces?: así nos enferma el ruido
14 de agosto de 2024
La activación simultánea de estos dos sistemas hace que el cuerpo libere hormonas del estrés: el cortisol, la hormona del…
Gobierno mexicano contradice a OMS sobre la causa de muerte por virus AH5N2
7 de junio de 2024
Alcocer aseguró que no hay evidencia de transmisión de humano a humano y reiteró que no existe riesgo asociado al…
Uso excesivo de antibióticos durante la pandemia aumentó la resistencia antimicrobiana
27 de abril de 2024
Según la doctora Silvia Bertagnolio, de la OMS, "cuando los antibióticos son innecesarios, no ofrecen beneficios y sus riesgos pueden…
OMS: Cambio climático impulsa incremento en casos de Malaria a nivel mundial
7 de diciembre de 2023
La implicación de toda la sociedad es fundamental para abordar estos desafíos y alcanzar las metas establecidas por la Estrategia…
La OMS solicita información a China sobre aumento de Neumonía infantil
23 de noviembre de 2023
Mantener la distancia con las personas enfermas, permanecer en casa cuando se enferma, someterse a pruebas y recibir atención médica…
Embarazo saludable
23 de junio de 2022
El embarazo es una etapa importante y conlleva una gran responsabilidad, de los padres, la familia y de la comunidad.
1
2
3
4
→